de Corrado Malanga
Cuando comencé a verificar la concreción de los casos de abducción en Italia, también intenté acumular pruebas objetivas de la realidad de un fenómeno que se presentaba como extremadamente elusivo en contra de la observación.
Por un lado, estaba la subjetividad de los que relataban y evocaban sus recuerdos y, por otro lado, la falta de "pruebas objetivas".
La presencia de cicatrices en el cuerpo de los secuestrados o implantados, de probable naturaleza alienígena, en el cuerpo de estos pobres desafortunados, podría proporcionar datos que cortarían la cabeza del toro, es decir, capaz, de una vez por todas, de demostrar la realidad del fenómeno en cuestión.
Entonces yo estaba en el comienzo de mi investigación, y pensaba, ingenuamente, que era suficiente llevar una prueba concreta a la comunidad científica para hacerla aceptada automáticamente.
No sabía todavía que la comunidad científica no existía y no me había dado cuenta aun de que el período de los científicos era como el de los milagros: ¡pasado! Sin embargo, en esa perspectiva hice algunas indagaciones que comenzaron, como siempre, de las "revelaciones" de los abducidos, que posteriormente fueron analizados a través del análisis de tipo médico.
Partiendo de algunas observaciones realizadas, en América, por Bud Hopkins, parecía ser capaz de deducir que los alienígenas utilizaban una extraña técnica quirúrgica y, con una especie de "bisturí de luz," introduciendo algo en la nariz del abducido durante el secuestro.
En efecto, todos los abducidos que conozco en Italia sufren a menudo, pero no siempre, pérdida de sangre de la nariz, de una fosa nasal, por lo general la derecha.
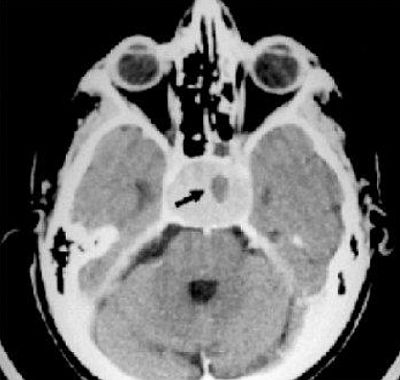
De hecho, durante esta extraña operación el médico alienígena raspaba el tejido parenquimático de la cavidad nasal, provocando una especie de fragilidad capilar, que puede ser la causa de estas pérdidas de sangre. Posteriormente, Hopkins y yo pudimos constatar, a través de la Tomografía Axial Computarizada, la presencia, en la hipófisis, de una mancha oscura de unos tres milímetros que algunos secuestrados tenían ... desde siempre.

No se trataba un tumor, porque este es, por lo general, mucho más grande, cuando se encuentra, y aparece, sin embargo, de color más claro, como se puede ver en esta radiografía.

Radiografía de un tumor, que por lo general aparece mucho más grande y de color más claro que los implantes alienígenas.
El sujeto abducido contaba, bajo hipnosis, que un "Gris", es decir, una de esas pequeñas criaturas, de un metro veinte de altura, con cuatro dedos en las extremidades superiores, uno de esos oponible, apuntaba con una extraña pistola, que parecía como de aire comprimido, en la nariz del sujeto. Entonces parecía apuntar para dispararle a algo, mirando a una pantalla, a veces, detrás de la cabeza del abducido, que siempre estaba acostado sobre una especie de cama. A veces la pantalla era claramente visible y era puesta al lado de la persona que sufría esta extraña operación. Algunos abducidos también dijeron haber visto la figura de un cráneo en la pantalla, pero ninguna estaba relacionada con los suyos.
En otras palabras, ninguno de los abducidos jamás había pensado que lo que vieron en la pantalla era su cabeza. Sin embargo, cuando el Gris tomaba apuntaba con esta extraña pistola, tiraba algo en la nariz de la pobre víctima, que sentía un dolor agudísimo, punzante, en el cerebro, justo entre el ojo derecho y la parte superior de la nariz, con la consecuencia inmediata de la pérdida de los sentidos.
Durante la hipnosis los sujetos que harían inmediatamente esta experiencia comenzaban respirando muy mal, como si tuvieran la nariz ocupada por algo y diciendo que sentían el sabor de la sangre en su garganta. Aumenta, en ese punto, la frecuencia de deglución y el sujeto comienza a imitar, emulando con sus propios gestos, una escena como si tuviera algo desagradable en su boca : "... Es una extraña papilla gelatinosa, fría, que entra en mi garganta... me dicen que es buena, que dentro de poco no voy a sentir nada ...".
A veces, uno de los asistentes alienígena incluso hace tragarse al sujeto una especie de píldora amarga, diciéndole que después se sentirá mejor.
Las primeras historias de este tipo regresan incluso al segundo abducido examinado en Italia (por mí), hace muchos años, cuando no sabía nada de las técnicas quirúrgicas nasales no invasivas.
Y aquí viene de China el doctor Jho, del Departamento del Centro de Neurocirugía de Mínima Invasión de Neurocirugía de la Universidad de Pittsburgh. A continuación se muestra la imagen de la página de inicio de su sitio web, mientras que el sitio en sí es :
http://www.neurosurgery.pitt.edu/microneurosurgery/index.html
Como se puede observar, la técnica no invasiva de este cirujano es capaz de operar en la pineal sin abrir el cráneo, pero pasando a través del hueso esfenoides, que es prácticamente atravesado en una zona pequeña.

El aparato que sirve para poner "algo" en el cerebro del paciente, a nivel de la hipófisis, es una extraña pistola a presión, prácticamente idéntica a la descrita por los abducidos.
Los problemas comenzaron cuando descubrí que, con este método, no sólo se podía eliminar algo en el cerebro del paciente, sino también introducir algo a nivel de la hipófisis. El dispositivo que servía para meter este algo es una extraña pistola a presión, prácticamente idéntica a la que fue descrita por los abducidos. Pero aún más interesante era el hecho de que lo que estaba siendo empujado a través de la nariz, en el cerebro estaban los componentes electrónicos capaces de controlar, a través de dieciséis microantenas, toda la actividad del cerebro humano. Y así es como esta "radio-cerebral" está hecha : se ve reproducida en la foto.

Las "cosas" que se metían en el cerebro a través de la nariz eran componentes electrónicos, capaces de controlar, a través de dieciséis microantenas, toda la actividad del cerebro humano.
A través de un sistema de redes de "puentes calientes", conectadas con satélites artificiales, con estos aparatos podemos ser monitoreados en todas partes del mundo. Sí, ya que los aparatos, que no miden más de dos milímetros y medio, funcionan como un "transpondedor" y reciben corriente eléctrica prácticamente vía radio. Esto quiere decir que no necesitan alimentación y que son prácticamente eternas.
Pero los descubrimientos no se detuvieron allí. Ya era extraño que los secuestrados, que nunca habían oído hablar de la "cirugía transesfenoidal," describieran perfectamente, ya hace más de diez años, las técnicas empleadas. También fue interesante descubrir que estos abducidos tenían también el microchip en el cráneo. Pero era muy extraño que las técnicas descritas en hipnosis por los abducidos, y atribuidas a los alienígenas, estuvieran desde hace unos años bajo el dominio de los llamados Terrícolas.
Era aterrador el hecho de que algunos humanos habían sido implantados para ser controlados por los alienígenas ... lo sabía desde hace mucho tiempo; pero también por los que nos gobiernan ... ¡esto simplemente no me lo esperaba!
¿Cómo lo diría?
Simple : ve a leer las patentes, las famosas "patentes" americanas, sobre los nuevos inventos para el control de la personalidad a través del transpondedor cerebral.
Descubrirá, a través de la consulta de estas "patentes", como se puede alterar la conciencia humana, como hacer ver y sentir cosas que no son, como se puede alterar la percepción, los recuerdos, las sensaciones sexuales, cómo hacer, soñar, cómo poder eliminar a un sujeto mediante un infarto de miocardio, todo vía radio.
PATENTE DE EE.UU. - 4, 717,343
MÉTODO DE CAMBIO DE COMPORTAMIENTO DE UNA PERSONA
Un método de condicionar la mente inconsciente de una persona con el fin de efectuar un cambio deseado en la conducta de la persona, que no requiere los servicios de un terapeuta entrenado. En su lugar, la persona a ser tratada ve un programa de imágenes de vídeo que aparecen en una pantalla. El programa, visto por la mente inconsciente de la persona actúa para condicionar los patrones de pensamiento de la persona de una manera que altera el comportamiento de esa persona de una manera positiva.
FUENTE : Judy Wall, Mike Coyle y Jan Wiesemann. Paranoia Magazine Número 24 Otoño 2000 - Artículo - "Technology to Your Mind" - Por Judy Wall
PATENTE DE EE.UU. - 5, 270, 800
GENERADOR DE MENSAJE SUBLIMINAL
Un generador de mensajes subliminal y supraliminal combinado para uso con un receptor de televisión permite un control completo de los mensajes subliminales y su forma de presentación. Un detector de sincronización de vídeo permite a un generador de visualización de vídeo generar una señal de mensaje de vídeo correspondiente a un mensaje de texto alfanumérico recibido en sincronismo con una señal de televisión recibida. Un mezclador de vídeo selecciona ya sea la señal de vídeo recibida o la señal de mensaje de vídeo para la salida. Los mensajes producidos por el generador de mensajes de vídeo son seleccionables por el usuario a través de una entrada de teclado. Una memoria de mensajes almacena una pluralidad de mensajes de texto alfanuméricos especificados por los comandos de usuario para su uso en forma de mensajes subliminales. Esta memoria de mensajes incluye preferiblemente una memoria sólo de lectura almacenando conjuntos predeterminados de mensajes de texto alfanuméricos dirigidos a diferentes temas. Los conjuntos de mensajes de texto alfanuméricos predeterminados incluyen preferiblemente varias afirmaciones positivas dirigidas al cerebro izquierdo y un número igual de afirmaciones positivas dirigidas a la parte derecha del cerebro que están alternativamente presentadas subliminalmente. Los mensajes del cerebro izquierdo son presentados en un modo de texto lineal, mientras que los mensajes del cerebro derecho son presentados en un modo de perspectiva tridimensional. El usuario puede controlar la longitud y espaciado de las presentaciones subliminales para acomodar diferentes umbrales conscientes. Realizaciones alternativas incluyen un convertidor de televisión por cable combinado y un generador de mensaje subliminal, un receptor televisivo combinado y un generador de mensajes subliminales y una computadora capaz de presentar mensajes subliminales.
FUENTE : Judy Wall, Mike Coyle y Jan Wiesemann. Paranoia Magazine Número 24 Otoño 2000 - Artículo - "Technology to Your Mind" - Por Judy Wall
PATENTE DE E.E.U.U. - 5, 123,899
MÉTODO Y SISTEMA PARA ALTERAR LA CONCIENCIA
Un sistema para alterar los estados de conciencia humana implica la aplicación simultánea de múltiples estímulos, sonidos preferibles, que tienen diferentes frecuencias y formas de onda. La relación entre las frecuencias de varios estímulos es exhibida por la ecuación
g = s.sup.n / 4 .multidot.f
donde :
f = frecuencia de un estímulo; g = frecuencia de los otros estímulos de estímulo;
n = un entero positivo o negativo que es diferente para cada uno los otros estímulos.
además ver :
PATENTE DE E.E.U.U. - 5, 289,438
MÉTODO Y SISTEMA PARA ALTERAR LA CONCIENCIA
FUENTE : Judy Wall, Mike Coyle and Jan Wiesemann. Paranoia Magazine Número 24 Otoño 2000 - Artículo - "Technology to Your Mind" - Por Judy Wall
PATENTE DE E.E.U.U. - 4, 877,027
SISTEMA DE SONIDO
El sonido se induce en la cabeza de una persona mediante la radiación de la cabeza con microondas en el rango de 100 megahercios a 10.000 megahertz que se modulan con una forma de onda particular. La forma de onda consiste en ráfagas de frecuencia modulada. Cada ráfaga se compone de diez a veinte pulsos uniformemente espaciados agrupados estrechamente juntos. La anchura de ráfaga es entre 500 nanosegundos y 100 microsegundos. El ancho de pulso está en el intervalo de 10 nanosegundos a 1 microsegundo. Las ráfagas son de frecuencia modulada por la entrada de audio para crear la sensación de oír en la persona cuya cabeza es irradiada.
EE.UU. PATENTE - 6011991
SISTEMA DE COMUNICACIÓN Y MÉTODO INCLUYENDO ANÁLISIS DE ONDA CEREBRAL Y / O USO DE LA ACTIVIDAD CEREBRAL
Un sistema y método para permitir a los seres humanos comunicarse por medio de su actividad cerebral monitoreada. La actividad del cerebro de un individuo es monitoreada y transmitida a una ubicación remota (por ejemplo, por satélite). En la ubicación remota, la actividad cerebral monitoreada es comparada con curvas de actividad cerebral normalizada y pre-grabadas, formas de onda, o patrones para determinar si se encuentra un resultado o un resultado sustancial. Si tal resultado es encontrado, entonces el computador en la ubicación remota determina que el individuo trataba de comunicarse con la palabra, frase, o pensamientos correspondientes a la señal registrada, normalizada y alcanzada.
E.E.U.U. PATENTE - 4,858,612
DISPOSITIVO DE ESCUCHA
Se muestra y describe un método y aparato para la simulación de escucha en mamíferos introduciendo una pluralidad de microondas en la región de la corteza auditiva. Se usa un micrófono para transformar señales de sonido en señales eléctricas que, en cambio, son analizadas y procesadas para proveer controles que generen una pluralidad de señales microondas a diferentes frecuencias. Las microondas multifrecuencias son entonces aplicadas al cerebro en la región de la corteza auditiva. Mediante este método los sonidos que son percibidos por el mamífero son representativos del sonido original recibido por el micrófono.
US PATENT - 3,951,134
APPARATUS AND METHOD FOR REMOTELY MONITORING AND ALTERING BRAIN WAVES
Apparatus for and method of sensing brain waves at a position remote from a subject whereby electromagnetic signals of different frequencies are simultaneously transmitted to the brain of the subject in which the signals interfere with one another to yield a waveform which is modulated by the subject's brain waves. The interference waveform which is representative of the brain wave activity is re-transmitted by the brain to a receiver where it is demodulated and amplified. The demodulated waveform is then displayed for visual viewing and routed to a computer for further processing and analysis. The demodulated waveform also can be used to produce a compensating signal which is transmitted back to the brain to effect a desired change in electrical activity therein.
US PATENT - 5,159,703
SILENT SUBLIMINAL PRESENTATION SYSTEM
A silent communications system in which nonaural carriers, in the very low or very high audio frequency range or in the adjacent ultrasonic frequency spectrum, are amplitude or frequency modulated with the desired intelligence and propagated acoustically or vibrationally, for inducement into the brain, typically through the use of loudspeakers, earphones or piezoelectric transducers.
US PATENT - 5,507,291
METHOD AND AN ASSOCIATED APPARATUS FOR REMOTELY DETERMINING INFORMATION AS TO A PERSON'S EMOTIONAL STATE
US PATENT - US5629678
IMPLANTABLE TRANSCEIVER
Apparatus for Tracking And Recovering Humans.
US PATENT FOR BARCODE TATTOO
Method for verifying human identity during electronic sale transactions. A method is presented for facilitating sales transactions by electronic media. A bar code or a design is tattooed on an individual. Before the sales transaction can be consummated, the tattoo is scanned with a scanner. Characteristics about the scanned tattoo are compared to characteristics about other tattoos stored on a computer database in order to verify the identity of the buyer. Once verified, the seller may be authorized to debit the buyer's electronic bank account in order to consummate the transaction. The seller's electronic bank account may be similarly updated.
US PATENT - 5,539,705
ULTRASONIC SPEECH TRANSLATOR AND COMMUNICATIONS SYSTEM
A wireless communication system undetectable by radio frequency methods for converting audio signals, including human voice, to electronic signals in the ultrasonic frequency range, transmitting the ultrasonic signal by way of acoustical pressure waves across a carrier medium, including gases, liquids, or solids, and reconverting the ultrasonic acoustical pressure waves back to the original audio signal. The ultrasonic speech translator and communication system (20) includes an ultrasonic transmitting device (100) and an ultrasonic receiving device (200). The ultrasonic transmitting device (100) accepts as input (115) an audio signal such as human voice input from a microphone (114) or tape deck.
US PATENT - 5,629,678
PERSONAL TRACKING AND RECOVERY SYSTEM
Apparatus for tracking and recovering humans utilizes an implantable transceiver incorporating a power supply and actuation system allowing the unit to remain implanted and functional for years without maintenance. The implanted transmitter may be remotely actuated, or actuated by the implantee. Power for the remote-activated receiver is generated electromechanically through the movement of body muscle. The device is small enough to be implanted in a child, facilitating use as a safeguard against kidnapping, and has a transmission range which also makes it suitable for wilderness sporting activities. A novel biological monitoring feature allows the device to be used to facilitate prompt medical dispatch in the event of heart attack or similar medical emergency. A novel sensation-feedback feature allows the implantee to control and actuate the device with certainty.
US PATENT - 5,760,692
INTRA-ORAL TRACKING DEVICE
An intra-oral tracking device adapted for use in association with a tooth having a buccal surface and a lingual surface, the apparatus comprises a tooth mounting member having an inner surface and an outer surface, the inner surface including adhesive material.
US PATENT - 5,868,100
FENCELESS ANIMAL CONTROL SYSTEM USING GPS LOCATION INFORMATION
A fenceless animal confinement system comprising portable units attached to the animal and including means for receiving GPS signals and for providing stimulation to the animal.
The GPS signals are processed to provide location information which is compared to the desired boundary parameters. If the animal has moved outside the desired area, the stimulation means is activated. The signal processing circuitry may be included either within the portable unit or within a separate fixed station.
US PATENT - 5,905,461
GLOBAL POSITIONING SATELLITE TRACKING DEVICE
A global positioning and tracking system for locating one of a person and item of property.
The global positioning and tracking system comprises at least one tracking device for connection to the one of the person and item of property including a processing device for determining a location of the tracking device and generating a position signal and a transmitter for transmitting said position signal.
US PATENT - 5,935,054
MAGNETIC EXCITATION OF SENSORY RESONANCES
The invention pertains to influencing the nervous system of a subject by a weak externally applied magnetic field with a frequency near 1/2 Hz. In a range of amplitudes, such fields can excite the 1/2 sensory resonance, which is the physiological effect involved in "rocking the baby".
US PATENT - 5,952,600
ENGINE DISABLING WEAPON
A non-lethal weapon for disabling an engine such as that of a fleeing car by means of a high voltage discharge that perturbs or destroys the electrical circuits.
US PATENT - 6,006,188
SPEECH SIGNAL PROCESSING FOR DETERMINING PSYCHOLOGICAL OR PHYSIOLOGICAL CHARACTERISTICS USING A KNOWLEDGE BASE
US PATENT - 6,014,080
BODY WORN ACTIVE AND PASSIVE TRACKING DEVICE
Tamper resistant body-worn tracking device to be worn by offenders or potential victims for use in a wireless communication system receiving signals from a global positioning system (GPS).
US PATENT - 6,017,302
SUBLIMINAL ACOUSTIC MANIPULATION OF NERVOUS SYSTEMS
In human subjects, sensory resonances can be excited by subliminal atmospheric acoustic pulses that are tuned to the resonance frequency. The 1/2 Hz sensory resonance affects the autonomic nervous system and may cause relaxation, drowsiness, or sexual excitement, depending on the precise acoustic frequency near 1/2 Hz used. The effects of the 2.5 Hz resonance include slowing of certain cortical processes, sleepiness, and disorientation. For these effects to occur, the acoustic intensity must lie in a certain deeply subliminal range. Suitable apparatus consists of a portable battery-powered source of weak subaudio acoustic radiation. The method and apparatus can be used by the general public as an aid to relaxation, sleep, or sexual arousal, and clinically for the control and perhaps treatment of insomnia, tremors, epileptic seizures, and anxiety disorders. There is further application as a nonlethal weapon that can be used in law enforcement standoff situations, for causing drowsiness and disorientation in targeted subjects. It is then preferable to use venting acoustic monopoles in the form of a device that inhales and exhales air with subaudio frequency.
US PATENT - 6,051,594
METHODS AND FORMULATIONS FOR MODULATING THE HUMAN SEXUAL RESPONSE
The invention is directed to improved methods for modulating the human sexual response by orally administering a formulation of the vasodilatator phentolamine to the blood circulation and thereby modulating the sexual response on demand.
US PATENT - 6,052,336
APPARATUS AND METHOD OF BROADCASTING AUDIBLE SOUND USING ULTRASONIC SOUND AS A CARRIER
An ultrasonic sound source broadcasts an ultrasonic signal which is amplitude and/or frequency modulated with an information input signal originating from an information input source. If the signals are amplitude modulated, a square root function of the information input signal is produced prior to modulation. The modulated signal, which may be amplified, is then broadcast via a projector unit, whereupon an individual or group of individuals located in the broadcast region detect the audible sound.
La última derivación de estos microchips se llama "Ángel Azul" y la firma americana fabricante pregona diciendo que sería apropiado que todos los niños del mundo fueran implantados con estos aparatos desde el nacimiento, por razones de seguridad ...
¿De quién? Me pregunto yo.
También me pregunto: ¿de dónde viene toda esta tecnología que los terrícolas conocen, pero que los abducidos describen desde hace más de diez años?
¿Cómo se ha aprendido esta serie de técnicas y, sobre todo, por quién y dónde?
Les recuerdo que parece propio que los implantes que se encuentran en los abducidos tengan un porcentaje isotópico diferente a los terrestres, así que no me vengan a decir que no hay alienígenas y son los chicos malos del "gobierno mundial oculto", mediante una operación de "Control Mental", que aplican los transpondedores nasales.
Me dicen en cambio que, según el coronel Corso, estas técnicas son el fruto de la ingeniería inversa aplicada al estudio de la presencia alienígena en nuestro planeta, y el desciframiento de sus tecnologías, me dicen que nuestros dirigentes desean utilizarlas para hacernos sentir siempre más buenos, calmados, estables y para hacernos "elegir" siempre lo que deseen, hacernos comprar y consumir lo que ellos deseen y hacernos dormir cuando deseen, hacernos hacer el amor cuando lo deseen, evitando los cambios debido a la evolución normal del pensamiento humano. ¿Pero qué evolución, qué pensamiento? ¿El nuestro o el de ellos? Dos lecciones se pueden aprender de todo este asunto. La primera es que todo esto prueba aún más que el fenómeno de la abducción es totalmente real y la segunda es que no debemos defendernos solamente de la intervención alienígena en el planeta, sino también de la intervención de aquellos poderosos y, para no dejar el poder, se preparan para gobernar, en el futuro, en una multitud de zombies.
¡Y esos zombies debemos ser nosotros!